芦屋市の審美治療,マイクロスコープによる精密治療、咬み合わせ治療、セラミック治療、MTAセメント

ナカニシ デンタル オフィス
<芦屋 中西歯科医院>
〒659-0091 兵庫県芦屋市東山町2-7 コモドココ1階
JR芦屋駅から徒歩10分 阪急芦屋川駅から8分
デンタルローン取り扱い・各種カード取り扱い
咬合再構成治療・医院前に駐車場2台あり
ご予約・お問い合わせはこちらへ
診療時間 | 火曜~金曜日10:00〜13:00/14:30〜17:30 土曜日10:00~13:00 午後13:30~16:00) |
|---|
休診日 | 日曜・月曜・祝祭日/木曜午後 |
|---|
お問合せはこちら
最新の設備を導入した
精度の高い治療
精密な検査による
確かな診断
コミュニケーションを大切に
患者さまの笑顔をつくります
当院では、「自分自身や大切な家族にも安心して任せたいと思える治療」を、患者さま一人ひとりにご提供しています。
必ず治すという歯科医としての使命とプライドをもって常にベストを尽くし、妥協のない歯科治療をスタッフと共に取り組んでいます。
私たちが大切にしているのは、患者様との信頼関係だと考えております。
つまり医師が常に謙虚な気持ちを持ち、患者様に寄り添うことができれば強い信頼関係が築けると確信しております。同じ目標に向かって治療を進めることで最大限の結果と心からの満足につながるーー
それが当院の目指す真の歯科医療です。
院長の祖父、父、叔父は歯科医師。また、副院長の父と兄も歯科医師という、歯科医の家系の中で育ちました。幼いころから、歯科医療は技術だけでなく、家族を想う温かい気持ちが大切であると感じながらすごしてきました。そのため患者さまを家族のように大切に思い、誠実に、丁寧に、そして妥協のない治療を行うこと、それが私たちの医療の原点です。保険診療・自費診療問わず、常に患者様にとって最良の選択と結果を目指し、日々診療に真摯に向き合っています。(2015年9月開業)
特別室
なぜ現状に至ったかという原因を把握し、問題を解決するには何が必要かを考え、患者様に最適な治療や本質的な治療をご提案します。原因をきちんと把握することで、痛みの再発防止や治療全体の負担を軽減させることができます。すべては患者様のこれからの人生の健康維持を守るために、日々国内外で技術、知識を研鑽した医療を提供しています。また専門医や専門性をもった歯科医師や学会認定歯科衛生士、認定歯科技工士たちと協力しチーム医療を院内で実現し患者様に予知性の高い良質な医療を提供しております。
またスタッフ全員、治療には一切手を抜かず、必ず治すという歯科医院としての使命をもって治療に取り組んでおります。そのため、患者様にも本気で治したいという気持ちを持っていてほしいのです。どこの歯医者でもいい、とりあえず診てほしい、近いから何となく来た、と思われる患者様は当院以外の歯科医院を受診することをおすすめします。
当医院では治療に通う歯科医院ではなく予防、健康維持のために通う歯科医院と考えています。 遠方から通って頂いている患者様の多くは咬みあわせの再構成(咬合再構成)の治療が多く、1回の治療時間も約2時間~予約をとって頂いております。 (東京、名古屋方面から新幹線で新神戸駅よりタクシーで約30分、神戸空港よりタクシーで約40分)
また歯医者さんでの麻酔は痛そうというイメージを持っている人は、少なくありません。そこで当院では、痛くない治療を徹底しています。
治療の前に患者さまの不安と向き合い、お話をしながら不安を取り除くことも欠かしません。小児患者も多いためより痛みのない不安を取り除く治療にこだわっています。
精神面と技術面から患者さまをしっかりサポート。歯医者さんが苦手な人でも、リラックスできる環境づくりをしています。治療後に笑顔でお帰りになる患者さまも多い歯医者さんです。
医療で最も重要なのは診断になります。診断自体が間違っていればどれだけ高い技術があっても何の意味もありません。的確な診査、診断ができ高い技術があってこそ医療だと考えています。そして医師が常に謙虚な気持ちをもち、患者様に寄り添うことができれば強い信頼関係が築けると確信しています。
また医療機器や設備にもこだわり、患者さまによりよい治療を提供できる環境をご用意。
当院では、日本歯内療法学会専門医(峯田 茉里)によるラバーダムとマイクロスコープを併用した精密な根管治療やMTAによる歯髄温存療法を行っています。(自費診療)
当医院の日本歯内療法学会専門医(歯科医師 峯田 茉里)は兵庫県下で5名しかいないうちの1人にあたります。
日本で約5%の歯医者さんのみで使われている、最新のマイクロスコープ(手術用の顕微鏡)を導入しています。どれだけ最新の機器が揃っていても歯科医の技術がなければまったく意味がありません。マイクロスコープと歯科用CTの併用により、的確な診査、診断の精度が非常に高くなることで歯を保存することが可能になります。
マイクロスコープを使用することで高精度の治療が可能となり、患者さまにとっては次のようなメリットがあります。
| 根管治療(前歯、臼歯) | 88,000円~165,000円 |
|---|
| 専門医によるセカンドオピニオン | 1時間11,000円 |
|---|
1万円札を3倍で拡大
8倍
14倍
21倍
抜歯の基準は医院により異なりますが、歯がぐらぐらしているから、ポケットが深いから、歯茎がよく腫れるから、支えている骨がないからという理由で抜歯されていませんか?? まずなぜそのような状態になってしまったかの原因を追求し的確な診査、診断をおこなうことで患者様の歯を保存することができる可能性が非常に高くなります。診査には欠かせないマイクロスコープと歯科用CTが非常に有用だと思われます。
また、当院では患者さまの歯の状態を詳細まで把握するために、通常のものよりも詳細な情報を取得できるCTを用いて診断を行います。1回のスキャンで3次元・360度どの角度からも必要な情報を確認することができ、被ばく線量は世界最小レベルなのが特徴です。また保険診療でも撮影することが可能になりました。
正確かつ詳細な診断結果のもと、診療をすすめていきます。
機器や設備の充実は、患者さまへの治療効果にもつながるうえ、的確な治療を可能にします。幅広い治療に対応いたしますので、歯やお口のお悩みがございましたらお気軽にご相談ください。
2Dでのレントゲンでは奥行きがわかりません。
真ん中の歯の骨が歯周病で失われています。
(歯周病の症例)
3DでのCTデータで見ると奥行きや欠損量が
明確にわかります。
当院で使用する詰め物や被せ物などの材料は、メタルフリーであることにこだわっています。状況によりまず唾液検査で虫歯のリスクを判別し、メタルフリー治療に適しているか精査します。 当医院の患者様が選ばれる自費の被せ物や詰め物の約90%以上がメタルフリーになります。自分の家族や身内にはメタル治療は絶対にすすめません。
金属アレルギーを起こしやすい金属のパッチテストの結果によると1位がアマルガム水銀、2位ニッケル、コバルト、3位スズ、4位パラジウム、5位クロムになり、すべて歯科でよく用いられている金属ばかりです。 特に保険治療でよく使われる12%金銀パラジウム合金というものがありますが、これはアレルギーを起こしやすい成分であるパラジウムとスズが含まれています。
金属アレルギーは先天性によるものだけではなく、後天的に起こることもあります。金属アレルギーのある患者さまには、歯科治療において詰め物・被せ物の材料に注意をしなければなりません。
私たちはお口の健康だけではなく、体の健康も大切に考え、金属アレルギーのある患者さまでも安心してお口の中に入れられる材料のみを使用しています。(症例に応じてゴールドによる治療は行っています)
金属を使わないオールセラミックス治療はとても自然で綺麗に仕上がります
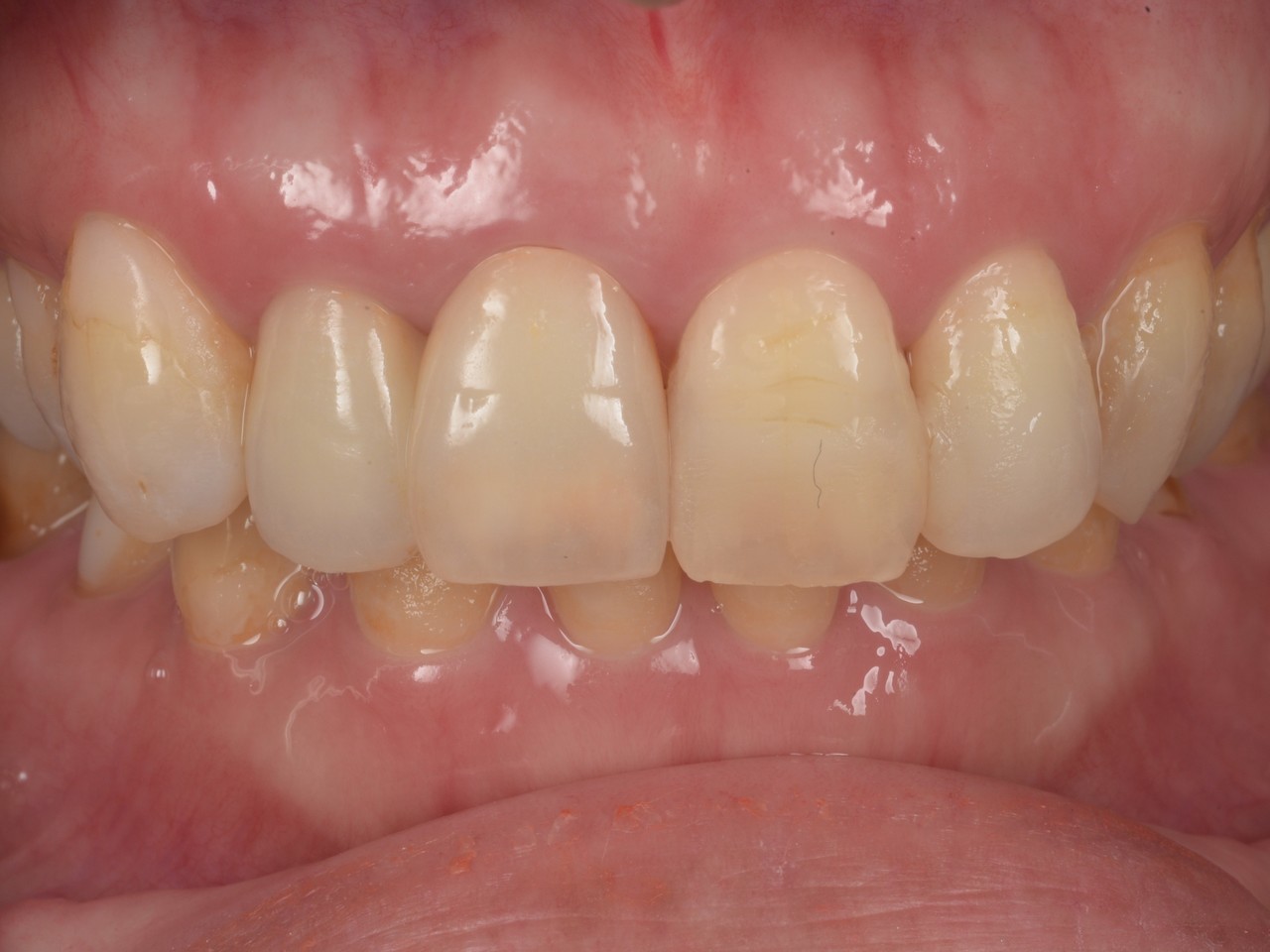
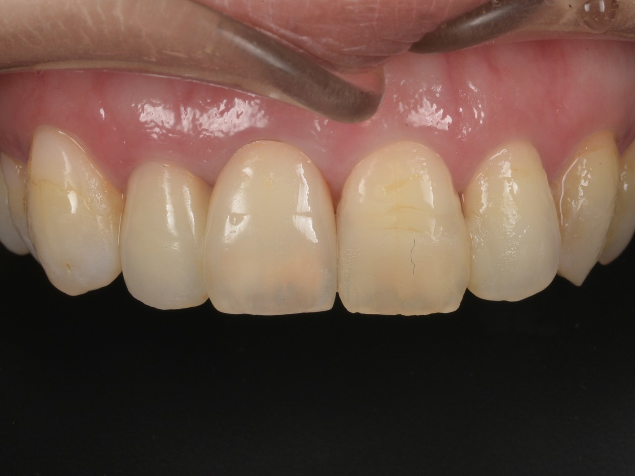
患者様の顔貌や唇の形、歯だけを見るのではなく全体的な調和がとれてこそ審美だと考えております(84歳女性)
NAKANISHI DENTAL OFFICE
術前
NAKANISHI DENTAL OFFICE
術後
ジルコニアクラウン(レイヤリング)
| ジルコニアクラウン | 165,000円~(税込 |
|---|
| emax クラウン | 154,000円~(税込 |
|---|
| メタルボンドクラウン | 132,000円~(税込 |
|---|
当院では、審美治療の被せ物やインプラント補綴、マウスピース矯正のインビザラインの型どりを楽に、そして精密にスムーズに行えるように活用しています。
日本全国の歯科クリニックのうち、アイテロエレメント5Dを導入しているのはわずか4%程度に過ぎません。
特徴としてお口の中を3Dスキャンし、型どりが不要になり、今までよりも精密な模型を作製することができるようになりました。また噛み合わせなどの総合的な診査、診断が可能となります。
口腔内スキャンで三次元的に噛み合わせや歯をみることができます。
近年、歯周病が全身疾患との関わりが深いことがすでに論文などで証明されています。歯周病のリスクが高い患者様は糖尿病、心臓血管疾患(動脈硬化、急性心筋梗塞)の悪化、発症のリスクが高くなります。また妊娠、早産、誤嚥性肺炎、喫煙なども歯周病のリスクを高める要因になります。当医院の患者様で血糖値が高い方が歯周病治療を継続的に受けられた結果、標準値まで下がった方や安定した方が実際おられます。何となく定期検診にいかれていませんか??患者様がどのような歯周病リスクをもったタイプかをある特定の歯周病原菌の線毛遺伝子型検査をすることで、将来のリスクや予防方法を確立し予測することが可能になりました。特に若い方にこの検査をすすめています。(予測歯科医学と呼ばれています)
歯周病の原因は、歯周病菌です。歯周病を治すためには、歯周病菌をしっかりと除去することが大切です。当院では、歯周病菌の量を調べる検査や、薬によるコントロールなどを行い、根本から歯周病を治療することに取り組んでいます。また歯ぎしりやくいしばりから歯周病にかかるケースが非常に多いため、炎症のコントロールだけではなく、咬みあわせの調整や被せ物の形態修正やマウスピースによる力のコントロールが非常に重要であると考えています。
お口の状態は患者さまによってさまざま。お一人おひとりの状態と、ご希望に合わせた歯周病治療でお悩みをスッキリ改善いたします。
また、重度歯周病の患者さまにも対応できるよう、再生治療等の最新の治療も取り入れています。
レーザー治療は自費診療のため、歯周病治療に対して1ブロック3000円~(税抜き)になります。
歯周病、インプラント周囲炎、虫歯、小帯切除、歯石除去、
口内炎、知覚過敏、メラニン除去等に使用することができます。
当院では治療中にうがいなどで患者さまが使用される水にも、衛生面での配慮を徹底しています。欧米では当たり前の設備になりますが、日本ではまだまだ感染や滅菌に対して意識が低いように感じます。 当医院では院内の医療機器はほとんどがドイツ製になります。
一般的な歯科の診療台には、設計上どうしても治療に使用した水が器具内を逆流したり、水路管に水がたまることが原因で不衛生になるリスクが非常に高いです。そのため当院では水消毒システムを導入し、治療中に使う水が常に清潔に保たれるように配慮。院内感染の予防につなげています。 日本国内ではほとんどの歯科医院で水道から直接つなげているため、うがいする水や削る時にでる水がかなり不衛生です。
芦屋市でも開業時からこのような設備を導入している医院はほとんどありません。
世界で最も厳しい欧米レベルの衛生管理体制・滅菌消毒システムを導入し、お子さまからご年配の方々まで安心して気持ちよく治療を受けていただける清潔な環境をつくっています。
当院で使用する医療器具を滅菌する機器(オートクレープ)は、小型高圧蒸気滅菌器のヨーロッパ基準 EN13060のクラスB規格をクリアーする、高度なものになります。 日々の臨床の中でより高度な滅菌を可能にし、患者さまへの細菌感染の危険性を大幅に低減させるサポートをいたします。
型どりするトレーは各自パッキングして徹底的に衛生管理を行っています。滅菌しても引き出しや棚からそのままで使っていると感染する原因になります。
すべての器具も個別パッキングしています。検査の器具も使い回しや収納棚からそのまま出されていませんか??
開業当初より当医院に導入しているクラスB規格の滅菌器だけが非包装、特にパッキング(包装)されたタービンやコントラ、外科器具などの複雑な器具を完全に滅菌することが可能です。一般的な歯科医院に導入されているオートクレーブ(クラスN)はパッキングされた状態で滅菌しても完全にウイルスや細菌を除去することができません。 医療従事者としてクラスB規格の滅菌器を使うことは当然だと考えております。
院長の中西 真大です
初めまして。院長の中西 真大(なかにし まさひろ)です。当院のホームページをご覧いただきありがとうございます。
NAKANISHI DENTAL OFFICE(中西歯科医院)は、歯周病治療と予防歯科を得意としています。
歯が痛くなってしまった時、痛みを取り除くだけでは、根本的な原因を突き止めることはできません。治療で痛みは一時的に和らげることができるかもしれませんが、その原因がわからなければ、再発のリスクも高いでしょう。診断で重要なことは、そのお悩みの原因を把握することです。
当院ではカウンセリングを重視し、お悩みの原因を解明していきます。患者さまのさまざまなお悩みに合わせた丁寧できめ細かいオーダーメイドの治療を行います。保険診療・自費診療問わず、患者さまにとって最良の治療をご提供いたします。
お口のお悩みに対し、「なぜ現状にいたったか」という原因を把握し、「問題を解決するには何が必要か」を一緒に考えていきましょう。
歯医者さんが苦手な方でも、リラックスしてご来院できる雰囲気です。
不明な点がありましたら、お気軽にお問い合わせください。皆さまのご来院をお待ちしております。
先月より医療用成分を配合した、オールインワン アンチエイジング・リップケアセラピーの効果があるラシャスリップの販売を開始いたしました。患者様から大変好評頂いておりますので是非お試し頂けたらと思います。詳しくはインスタグラム nakanishi.dentaloffice.ashiyaで検索してください。
| 月 | 火 | 水 | 木 | 金 | 土 | 日 | |
|---|---|---|---|---|---|---|---|
| 午前 | × | ○ | ○ | ○ | ○ | △ | × |
| 午後 | × | ○ | ○ | × | ○ | □ | × |
〇 午前 10:00〜13:00
午後 14:30〜17:30
△ 午前 10:00~13:00
□ 午後 13:30~16:00
メールでのお問合せは24時間受け付けております。
午後診療時は13時半~16時まで(土曜日)